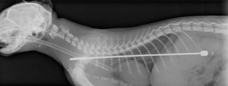
Σε έκτακτη χειρουργική επέμβαση υπεβλήθη νεαρός γάτος ονόματι Άλφι, η μανία του οποίου
με την τηλεόραση τον έκανε να φάει την μήκους 15 εκατοστών κεραία της.
Αμετανόητος πολέμιος του απεχθούς μέσου μαζικής ενημέρωσης, το τετράποδο αιλουροειδές αποφάσισε να βάλει μια για πάντα τέλος στο «χαζοκούτι», ρίχοντάς το κάτω και «μασουλώντας» τη μεταλλική κεραία, η οποία ευτυχώς δεν του τραυμάτισε τη στομαχική κοιλότητα.
Ολοένα και περισσότερα είναι τον τελευταίο καιρό τα περιστατικά κατοικίδιων ζώων που στρέφονται εναντίον κάθε είδους βρώσιμης συσκευής, συνέπεια της μεγάλης δυσφορίας που τους προκαλεί ο πολιτισμός!

Πηγή: iefimerida.gr
![Αυτή είναι είδηση: Γάτος πολέμιος της τηλεόρασης κατάπιε κεραία, γράφει o Guardian [εικόνα]](http://www.iefimerida.gr/sites/default/files/imagecache/node_image660/tv-obsessed-alphie-eyes-t-010.jpg)
Δεν υπάρχουν σχόλια:
Δημοσίευση σχολίου